La cosmétique intègre la biologie
pour son activité et sa sécurité
|
<< < > >> |
|
Le produit cosmétique n’est plus uniquement un véhicule pour le parfum ou un moyen d’embellissement, il est en interaction avec un tissu vivant : la peau. Il y a à cette époque une prise de conscience toujours plus grande des effets d’intolérances que peuvent provoquer certains produits totalement nouveaux. Ainsi vont apparaître les premiers tests d’innocuité sur animaux (rats et lapins). Un peu plus tard, les premiers tests
in vitro d’évaluation d’extraits sur des cultures de bactéries lactiques et d’œufs de triton sont proposés par Jean Cotte, pharmacien des hôpitaux, qui
créera le laboratoire de dermopharmacie et cosmétologie de la faculté de pharmacie de Lyon. Dès 1970, sont développées par Monique Adolphe les premières cultures de cellules, bases des futures méthodes alternatives à l’expérimentation animale.
|

| « La connaissance de la biochimie de la peau … », par Jean Morelle. Industrie de la parfumerie, 1953. |
| |
| BIU Santé Pharmacie : cote P 10063. |
|
|

| « L’anatomie de la sensibilité cutanée », d’après G. Weddel, La Parfumerie moderne, 1948. |
| |
| BIU Santé Pharmacie : cote P 15270. |
|
|
|

| Publicité pour la crème essentielle d’Isabelle Lancray. Guide des industries de la parfumerie. Paris : éditions Publi-Guid, 1950-1951. |
| |
| BIU Santé Pharmacie : cote P 50155-1950/1951. |
|
|

| Histochimie de la peau …, par le docteur André Dupré. La Parfumerie moderne, 1955. |
| |
| BIU Santé Pharmacie : cote P 15270. © Société française de cosmétologie. |
|
|
|
| René-Maurice Gattefossé introduit la notion « d’étude clinique des produits de beauté ». Il montre que certains produits ont une activité sur « les couches sous-jacentes » de la peau. Celle-ci est considérée, de fait, comme un tissu vivant capable de « faciliter le transit de corps nutritifs » en son sein. Ce sont autant de données nouvelles qui ouvrent la voie à la recherche cosmétique, une recherche qui s’oriente de plus en plus vers la compréhension des mécanismes biologiques de la peau saine. |

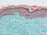
| Coupe histologique de peau humaine (aujourd’hui). Coloration au Trichrome de Masson. |
| |
| © LVMH Recherche. |
|
|

| Culture de fibroblastes humains. |
| |
| © LVMH Recherche. |
|
|
|
|

| Université de Lyon : les nouvelles facultés de médecine et de pharmacie. |
| Jean Cotte, pharmacien des hôpitaux crée, au début des années 1970, le laboratoire de dermopharmacie et cosmétologie à la faculté de pharmacie de Lyon. Quelques années plus tard, le Pr Jean-Paul Marty créera à l’université Paris XI un Diplôme d’études approfondies (DEA) de cosmétologie de renommée internationale. |
| BIU Santé Médecine : image CISA 0988. |
|
|
|
|