Bibliothèques d'Université Paris Cité
  1. Medica
    1. Bibliothèque numérique
    2. Images et portraits
    3. Asclépiades (thèses d’histoire)
    4. Manuscrits (Calames)
    5. Base biographique
    6. Medicina (bibliographie)
    7. Numérisation à la demande (EOD)
  1.   Accueil
  2. Medica
  3. Bibliothèque numérique
  4. Résultats de recherche
Medica — Bibliothèque numérique

Présentation • Mode d’emploi • Services associés • Réutilisations

page précédente

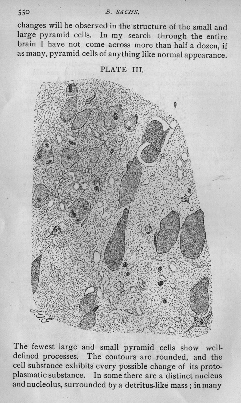
SACHS, B.
On arrested cerebral development, with special reference to its cortical pathology
In : [The] Journal of nervous and mental disease, 1887, Vol. 14, pp. 541-53
Page à Page
Par chapitres

Page suivante


URL pérenne de cette page : https://www.biusante.parisdescartes.fr/histmed/medica/page?epo0932&p=10

page précédente

SACHS, B.
On arrested cerebral development, with special reference to its cortical pathology
In : [The] Journal of nervous and mental disease, 1887, Vol. 14, pp. 541-53
Page à Page
Par chapitres

Page suivante

Monogramme Université Paris Cité Logo Investissements d'avenir
Contacts Mentions légales Plan du site