| |
|
|
Les
collections de l'ASPAD |
 |
L’amalgame et son instrumentation
en Art Dentaire |
|
Tout d’abord pour cet exposé il n’est pas question de polémiquer, même si
la polémique au sujet de l’utilisation de l’amalgame dentaire, sa toxicité,
fait partie aussi de son histoire. L’amalgame dentaire et son
instrumentation ont joué pendant plus de 170 ans, et continuent de jouer
encore dans certains pays, un rôle majeur dans l’Histoire de l’Art Dentaire.
L’ASPAD possédant de nombreuses pièces pour illustrer cette période
historique se donne l’occasion de les présenter.
QU’EST-CE QU’UN AMALGAME ?
L’amalgame résulte de la combinaison par trituration d’une poudre
d’alliage métallique avec du mercure, métal liquide à température ambiante.
L’amalgamation chimique et métallurgique est une réaction extrêmement
complexe. On peut obtenir des amalgames avec de nombreux métaux : amalgames
d’or, de cuivre, d’étain, d’argent, de bismuth, etc… Après ce mélange
l’amalgame obtenu va durcir plus ou moins rapidement et complètement en
fonction du dosage de mercure liquide incorporé à la poudre métallique.
Classiquement l’amalgame dentaire d’argent est constitué d’environ 50% de
mercure (en masse) et 50% de poudre d’alliage métallique à 80 % d’argent et
15 % d’étain plus du cuivre. Après son amalgamation, pendant qu’il est
encore mou, il est essoré dans une peau de chamois pour enlever les excès de
mercure de manière à obtenir un amalgame manipulable gardant d’excellentes
qualités après son durcissement. Ce dosage des différents constituants est
maintenant assuré par des capsules prédosées. Rappelons aussi que le mercure
libre, non combiné, est toxique.
UN PEU D’HISTOIRE
Dés l’antiquité les Phéniciens connaissent le mercure. Chez les grecs
Théophraste, disciple d’Aristote au IIIème siècle avant JC, décrit le
minerai de mercure d’où il est facilement extrait par chauffage. Début de
notre ère les romains utilisent le mercure comme un métal liquide avec
certaines de ses propriétés. Historiquement dans l’ancien temps des
obturations métalliques ont été mentionnées, mais exceptionnellement
réalisées, probablement avec du plomb ou de l’étain, mais plus certainement
avec des petites boulettes d’or malléables tassées dans les cavités
dentaires comme par Giovanni da Vigo dés 1514, technique des aurifications
reprise par Robert Arthur en 1855. Des fines feuilles d’étain moins
onéreuses que l’or ont aussi été essayées.
Il semblerait que l’amalgame était déjà utilisé en Chine pendant la
dynastie Tang (618-907 apr.JC.) comme matériau d’obturation dentaire,
confirmé par les écrits du médecin Su Kung en 659. On retrouve l’amalgame
sous le nom de « pâte argent » dans le « Ta-Kuan Pent-t’sao » de 1107. A
l’époque Ming, en 1505, Liu Wen T’ai en décrit une composition précise : 100
parties de mercure, 45 d’argent et 900 de zinc. En 1596, Li Shi-Zhen nous
certifie la composition de cet alliage.
En Allemagne des obturations dentaires à l’aide d’amalgame sont réalisées
en 1528 par Johanes Stockers, médecin à Ulm, qui parle dans son ouvrage,
Praxis Aurea, d’un l’amalgame qui « durcit comme la pierre dans un trou de
la dent » Mais l’amalgame dentaire ne s’imposera vraiment dans le monde
occidental qu’à partir des années 1830.
Historiquement tout aurait commencé dans les premières années du 19ème
siècle par de fines feuilles d’étain tassées dans des cavités dentaires plus
ou moins préparées, puis par l’utilisation de l’alliage Darcet (8 parts de
bismuth, 5 de plomb et 3 d’étain). Cet alliage bien connu, comme par exemple
de Newton, avait été retrouvé, repris et remis au point en 1775 par le
médecin et chimiste Jean Darcet (ou d’Arcet) (1724-1801). Cet alliage
fusible à 92° est foulé dans sa forme ramollie avec des fouloirs à boule
chauffés. En 1818, le dentiste parisien Louis Nicolas Regnart (1780-1847),
dans son Mémoire sur un nouveau moyen d’obturation des dents de l’Art du
Dentiste, conseille d’ajouter 10% à 40% de mercure à l’alliage Darcet
abaissant ainsi son point de fusion à 76° et facilitant grandement sa
manipulation en bouche.
Dans la même mouvance le dentiste Auguste (Louis Augustin Onésiphore)
Taveau, né en 1792, s’inspirant de la redécouverte du chimiste anglais Bell
en 1819 des propriétés de l’amalgamation, met au point et préconise en 1826
un amalgame dentaire avec 50% de mercure et 50% de poudre d’alliage avec 2/3
argent et 1/3 étain. L’amalgame d’argent dentaire est né. Ce « succedanum
mineral » sera commercialisé par Mallan, père et fils, qui en garderont le
brevet jusqu’en 1840. Ce nouvel « amalgame » par ses qualités s’impose
rapidement comme un matériau de choix.
|
 |
 |
 |
|
Poudre d’alliage d’argent pour amalgame. |
Mercure et flacons
à gouttes de mercure en buis ou citronnier. A
droite flacon en Celluloïd. |
|
Groupe de trois mortiers pour incorporer le
mercure à la poudre d’alliage, pour trituration
de l’amalgame. Les mortiers à parois
rectilignes, modèles du Dr. Marcus Ward, sont
plus efficaces par leur stricte adaptation du
pilon au mortier. |
 |
|
 |
 |
|
Préparation de
poudre d’alliage avec cuillère doseur. |
|
 |
 |
 |
|
Fouloirs à amalgame ca.1830, manches ébène. |
Fouloirs à amalgame manches ivoire,
Blanc à
Paris, Biggle à New York ca.1850. |
|
 |
 |
 |
|
Fouloirs amalgame manche en agate sardoine,
viroles et embouts en vermeil gravés,
par Lüer à Paris ca.1850. |
|
 |
 |
 |
|
On reconnait dans ce coffret par Charrière de
nombreux instruments pour amalgames ca.1850. |
|
 |
 |
 |
|
Fouloirs pour alliage Darcet, par Blanc à Paris
ca. 1840. |
L’amalgame traverse rapidement l’Atlantique grâce aux frères Crawcorn qui
l’importent dés 1830 aux USA. Ceux-ci d’ailleurs utilisent de la limaille de
pièces de 1 dollar en argent comme poudre métallique, ce qui occasionne une
expansion de prise entrainant parfois des fractures dentaires. Une terrible
controverse s’installe dans le pays, certains réfutant l’usage du mercure.
Certes il y a bien un problème de toxicité, mais l’arrivée des amalgames
vient surtout casser le très fructueux marché des aurifications ! Ce sont
les « jours de Crawcorn » en 1833 interdisant l’utilisation des amalgames
sous peine d’exclusion de l’ « American Society of Dental Surgeons ». Cette
société ne survit pas aux différentes disputes et sera dissoute en 1856,
remplacée par l' « American Dental Association ».
En 1850 le dentiste américain J.F. Flagg, modifie l’alliage d’amalgame en
introduisant un petit pourcentage de cuivre dans l’alliage préconisé par
Auguste Taveau. Mais incontestablement c’est le professeur Greene Vardiman
Black qui en 1896 fait faire un grand pas à l’Art Dentaire. Il énonce et
enseigne les principes des préparations des cavités dentaires avec «
extensions for prevention » en réalité édictés pour l’usage des amalgames.
De plus il améliore les proportions de l’alliage en préconisant 65%
d’argent, 30% d’étain, 5à 6% de cuivre auxquels seront ajoutés plus tard un
peu de zinc, du palladium et de l’indium. Ces spécifications sont
définitivement adoptées par l’ADA en 1926 pour une quarantaine d’années.
|
 |
 |
|
Système Automatrix de Dentsply 1970. |
Deux porte-amalgame 1960-2000 et porte-amalgame
de Jero
avec son godet de chargement. |
|
 |
 |
 |
|
Arsenal de
différents fouloirs à amalgame des années
1950-1960. |
En Allemagne Alfred Stock, personnellement intoxiqué par le mercure dans
son laboratoire, relance en 1926 la polémique sur la toxicité des amalgames.
A cette époque certains utilisent des amalgames de cuivre, à mercure
incorporé, sous forme de petites pastilles qui chauffées laissent sourdre le
mercure, ramollissant l’alliage prêt à être manipulé, mais produisant des
vapeurs de mercure toxiques.
De nouvelles recherches, avec de nouvelles propriétés physico-chimiques
aboutissent à l’utilisation d’une série d’amalgames à « dispersion de phase
» dans les années 1960. Survient en 1960 la catastrophe de Minamata au Japon
avec plus de 2000 victimes dont près de 1000 morts par intoxication
industrielle au mercure. La polémique reprend le dessus. Au cours des années
1970 une amélioration considérable avec la mise au point de la génération
des alliages NonGamma2. Mais au milieu des années 1980, par médias
interposés, H.M.Hoggins réactive la polémique aux USA avec succès car
d’autres nouveaux matériaux d’obturations de remplacement de qualité
arrivent sur le marché.
|
 |
 |
 |
|
Distributeur de
précision d’alliage et de mercure, en bakélite
par SSWhite vers 1940-1950. Destiné à charger des
capsules avec masselottes ou être directement versé dans un mortier, il est
très précis dans son dosage, bien étanche malgré son retournement complet,
efficace, fiable, rapide et propre : De nombreux cabinets l’adoptent ainsi
que le New True Dentalloy, amalgame pour lequel ce dispenser avait été
conçu. |
|
 |
 |
|
Nouveau Wig L Bug avec capot. |
Autour de 1985 de nombreux pays occidentaux mènent des enquêtes et
conservent leur confiance en l’innocuité relative des amalgames. Des
réductions d’usage sont conseillées en Suède et en Allemagne principalement
sur des bases écologiques (Lois écologiques 1991 anti mercurielles) avec
l’espoir de supprimer complètement partout le mercure.
On estime que 10 millions d’amalgames étaient réalisés PAR JOUR dans le
monde dans les années 1990 !
Plusieurs rapports 1994, 1997, confirment qu’il n’y a pas de preuve
scientifique pour affirmer que l’exposition au mercure des amalgames soit la
cause d’effets secondaires sur la santé (exceptées de très rares allergies
au mercure). En 1997 l’association dentaire suédoise, très en tête de la
contestation pour l’usage des amalgames, édicte que des situations existent
où l’amalgame est le seul matériau convenable et que dans tous ces cas
l’amalgame reste possible. Un rapport consensuel d’une équipe internationale
à Genève en 1997, n’a pas de raison pour imposer une interdiction, mais par
principe de précaution demande d’éviter les amalgames chez les femmes
enceintes et les enfants en bas âge. En France l’AFSSAPS (sécurité
sanitaire) fait faire le point à un groupe de quatorze experts, qui en
arrivent aux mêmes conclusions.
Cependant une disposition va nettement apporter une amélioration à
l’usage des amalgames. C’est à partir de 1998 l’obligation de n’utiliser que
des capsules déjà prédosées industriellement, déjà chargées en mercure, en
abandonnant, interdisant la préparation de capsules directes par le
praticien, améliorant la qualité des amalgames scientifiquement dosés et en
éliminant les vapeurs de mercure de la trituration.
|
 |
 |
 |
|
L’Automix de Kerr : Remarquable vibreur,
mélangeur, amalgamateur, adaptable à tous matériaux, excellente protection
et sécurité. |
Actuellement en 2017 sont toujours disponibles, et utilisées encore dans
de nombreux pays, mais quasiment remplacées d’Europe et d’Amérique du nord,
deux familles d’alliages à haute teneur en cuivre performantes.
Depuis 1963 des alliages enrichis en cuivre sont à phases dispersées
réduisant la quantité de mercure pour l’amalgamation, ainsi que des alliages
dits ternaires avec trois constituants de structure très homogène d’une
stabilité remarquable et des alliages quaternaires High Copper Single
Composition avec d’excellentes propriétés physico-chimiques absolument sans
relarguage. En réalité ces nouveaux amalgames, réalisés prédosés, sans excès
de mercure, scientifiquement triturés, avec la digue sans humidité, sous
aspiration haute vélocité, questionnent sérieusement certains professionnels
: N’est-on pas en train de se priver d’un excellent produit d’obturation ?
Pas de polémique
170 années d’utilisation de l’amalgame d’argent ne semble pas avoir
permis de découvrir de maladies professionnelles remarquables aux nombreuses
équipes dentaires, malgré parfois des conditions très limites de gestion du
risque mercuriel, assez inconscient, par plusieurs générations de
praticiens. Cependant de nombreuses études faites à partir des années 1960
sur les patients et aussi sur les équipes soignantes retrouvent une
mercuriemie et mercuriurie légèrement plus importantes que la norme. Si ces
doses de mercure sont très passagères pour les patients, elles sont
permanentes pour les équipes soignantes. Quelles ont été les conséquences,
quelles sont les conséquences actuelles de cet hydrargyrisme des équipes
soignantes ? Pas d’effets secondaires ? Peut-on continuer à ignorer l’effet
cumulatif des toxiques ?
Incontestablement l’amalgame d’argent dentaire a été l’obturation de
choix pendant plus de 170 ans, accompagné de toute une instrumentation
spécifique à sa manipulation. Cette obturation a participé efficacement à la
démocratisation des soins dentaires car très économique, bien plus
économique que les nouvelles obturations comme les composites qui prennent
deux fois plus de temps que l’amalgame. D’une solidité remarquable, de
qualité très convenable malgré parfois une réalisation limite, pas toujours
à l’abri du sang et de la salive, ou d’une simple application digitale !
Obturation d’une fiabilité exceptionnelle, d’une pérennité sans comparaison
avec les composites, verres ionomères, exigeants et supportant mal l’« à peu
près » avec leurs récidives de caries.
Quels étonnements, de constater souvent sur des fiches de soins que certains
des amalgames toujours très corrects en bouche ont été effectués trente ou
quarante ans plus tôt ?
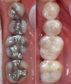
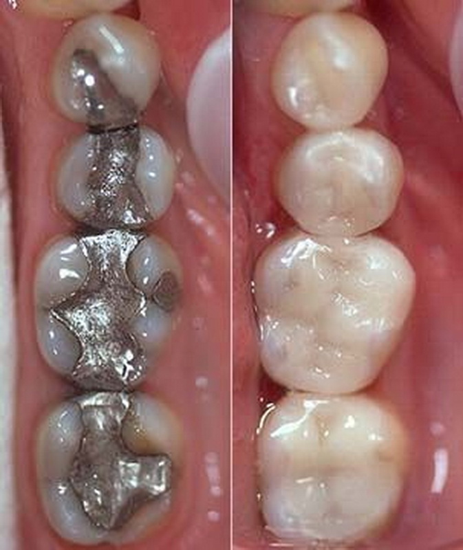
L’esthétique des amalgames n’est pas très fameuse, c’est vrai. Mais cet
amalgame est d’une manipulation rapide, d’une application et d’un foulage
aisés, avec réalisation de bons points de contacts efficaces, se sculptant
bien et d’un réglage occlusal immédiat complété par un ajustage naturel lors
des mouvements cinétiques parfois extrêmes, y compris quelques jours plus
tard.
Pas de polémique ! Aucun doute le mercure est toxique et quelle que soit la qualité de l’amalgame
il ne peut plus être utilisé, ni pour le soigné, ni pour le soignant.
Pratiquement depuis les débuts 2000 les amalgames ne sont plus enseignés
dans les facultés en Europe. Mais par quoi les remplacer ? Résines
composites et verres ionomères, avec ou sans leurs relarguages ? Qu’en
est-il des traces de titane retrouvées dans les tissus cérébraux des porteurs
d’implants ? Gestion des polymétallismes en bouche ! L’obturation neutre
dite biologique existe-t-elle ? Difficile ce problème du « primum non nocere
».
L’amalgame a marqué plusieurs générations de praticiens et de patients.
Notre but est uniquement de reconnaitre et de comprendre le rôle déterminant
que l’amalgame a joué pendant plus de 170 ans pour la santé de toute une
population et pour l’histoire de l’Art Dentaire, avec tout son
accompagnement instrumental nécessaire et efficace. Mais soyons réalistes de
nombreux dentistes dans le monde réalisent encore des amalgames en 2017. Il
est vrai de moins en moins, mais surtout par ce que certains nouveaux
matériaux sont moins chers que l’amalgame. Probablement l’amalgame dentaire
va disparaitre des techniques dentaires non pas pour des raisons de toxicité
mais pour des raisons économiques.
 |
Groupe d’amalgames d’une dizaine d’années remplacés
uniquement pour des raisons esthétiques par des reconstitutions céramique Cerec : Excellente récupération esthétique nécessitant un important travail. |
DOCUMENTATION PHOTOGRAPHIQUE DE L’ASPAD
|
 |
| Nécessaire pour amalgame à « l’ancienne ». |
|
|