Jean GRANAT
DCD, DSO, GDR 1945
Laboratoire d’Anthropologie biologique
Musée de l’Homme, Paris
Jean-Louis HEIM
Professeur au Muséum National d’Histoire Naturelle
Professeur à l’Institut de Paléontologie Humaine
Laboratoire d’Anthropologie Biologique
Musée de l’Homme, Paris.
Aujourd’hui le sourire et les dents occupent une place importante dans nos sociétés. En fait, les dents ont, depuis les temps reculés, fait l’objet d’une préoccupation particulière. Elles ont été incrustées de pierres précieuses ou mutilées pour des rites religieux, par esthétisme, voire même fracturées ou abrasées certainement dans un but thérapeutique et ces pratiques dentaires remontent à la fin des temps préhistoriques.
Au laboratoire d’Anthropologie Biologique du Musée de l’Homme (Paris), nous avons repris du point de vue de l’odontologie anthropologique, l’étude du crâne de Faïd Souar II, découvert en Algérie et vieux de 7000 ans ( B.P) (0) , c’est – à – dire en considérant la denture dans son contexte populationnel et environnemental, notre étude antérieure datant de 1990 (1).
Ce crâne a été daté par la méthode au Carbone 14. Avant les méthodes de datations « absolues » et aujourd’hui encore, l’on datait par l’âge de la couche géologique sur (ou ) dans laquelle reposait le fossile et aussi par la faune et la flore associées. Rappelons ici que c’est l’anatomiste suédois Nicolas STENON qui au 17ème siècle répandit l’idée que les couches terrestres se sont déposées successivement et que les plus profondes sont les plus anciennes.
L’Ère quaternaire dans laquelle nous vivons actuellement a, par convention, débuté il y a 1,8 millions d’années.
Ce Quaternaire est divisé en 2 grandes périodes géologiques, le Pléistocène qui connût une douche écossaise de glaciations et d’interglaciaires et depuis 10.000 ans l’Holocène, période de réchauffement dans laquelle nous sommes. Il est de coutume de diviser ce quaternaire en périodes archéologiques selon le type de pierres taillées fabriquées par les hommes préhistoriques. Ainsi l’on parle de paléolithique inférieur, moyen et supérieur se terminant selon les régions vers 11.000 ou 8.000 ans. En Europe lui succèdent, le Mésolithique, puis le Néolithique, puis l’âge du bronze, du cuivre, du fer et les temps modernes. La période historique commence avec l’écriture mais son début est variable suivant les régions.
En Afrique du Nord, l’épipaléolithique se substitue en partie au Paléolithique supérieur européen et s’étend de 28.000 à 7.000 ans environ.
Pendant le Quaternaire les Hominidés du genre Homo se diversifient, s’épanouissent et disparaissent pour la plupart. Seule l’espèce à laquelle nous appartenons tous, Homo sapiens a survécu. Notre espèce se reconnaît depuis 100.000 ou 200.000 ans, peut-être plus encore, mais apparaît réellement il y a 40.000 ans environ. Différents types humains se reconnaissent dont celui de Cro-Magnon (fig.1) caractérisé par une dysharmonie cranio-faciale marquée. Après 10.000 ans les types humains actuels se mettent en place.
Il y a 7000 ans en Algérie les hommes étaient des Homo sapiens donc des ancêtres directs des Hommes modernes. A l’épipaléolithique maghrébin, issus d’un type atérien antérieur, 2 types humains dits » Mechtoïdes » se reconnaissent, l’Ibéromaurusien,(2) qui est composé en grande partie de sapiens à l’aspect « cromagnoïde, » semblables à ceux d’Europe, au Nord de la Méditerranée, tel le crâne de Taza1 (3) (fig.2a) et le Capsien, anthropologiquement différent et considéré comme Proto-Méditerranéen, ce sont par exemple les hommes de Medjez (fig.2b), ou de Faïd Souar.

Dans l’Est de l’Algérie, correspondant aux 2 types humains, 2 civilisations se reconnaissent, la plus ancienne l’Ibéromaurusien entre 22.000 et 8.000 ans est une civilisation du littoral. Son outillage est relativement pauvre avec en pierre taillée de nombreuses lamelles à dos abattu et divers autres types d’outils, notamment en os. Ni art mobilier, ni art rupestre n’ont été retrouvés alors que cet Ibéromaurusien est contemporain chronologiquement des peintures de Lascaux en France et d’Altamira en Espagne, datées de 18.000 ans. La découverte la plus insolite est celle de statuettes en terre cuite datées entre 18 000 et 11 000 ans qui constituent les plus anciennes manifestations artistiques d’Afrique .
L’autre civilisation, le Capsien (4) a duré plus de 2000 ans. Ce nom vient de Gafsa, ville de Tunisie qui s’est appelée Capsa. Elle est considérée comme préhistorique s’étendant de 9.000 à 6.500 ans. Elle n’atteint pas le littoral méditerranéen, reste à l’intérieur des terres sur un territoire limité à l’Est algérien et à une partie de la Tunisie
Les hommes d’alors avaient une culture élaborée et se servaient d’outils en pierre, en os, en bois qu’ils taillaient en leur donnant des formes appropriées.

Cette industrie capsienne est de fort belle qualité (fig.3a) : elle comporte, des grandes lames, des lamelles à dos, de nombreux burins, grattoirs, couteaux, perçoirs, mèches de forets, scalènes et des objets de petite taille, riche en microlithes géométriques (trapèzes, triangles ou autres). L’industrie osseuse est composée essentiellement de poinçons. Jusqu’à des découvertes toutes récentes à Afalou, ils étaient considérés comme les premiers artistes du Maghreb: décors d’objets de parure et de coquilles d’œufs d’autruches, plaquettes gravées (fig.3b), pierres sculptées.
Leurs habitations étaient constituées de huttes de branchages, peut-être colmatées avec de l’argile. Ce sont les mollusques terrestres, les escargots, qui occupent une place importante dans leur alimentation et les coquilles mêlées à des cendres et à des débris osseux forment des amas ou escargotières ou cendrières ayant parfois de 1 à 3 mètres de haut et atteignant plus de 100m de long. Les Capsiens y enterraient aussi leurs morts dans des positions variables.
Le crâne de Faïd-Souar II (fig.4) provient de l’escargotière du même nom, située sur la commune de Canrobert à 70 km environ au sud-est de Constantine (aujourd’hui Qacentina). Il a été découvert en 1954, accompagné d’une industrie capsienne par G. Laplace, Maître de Recherches au CNRS qui participait à une campagne de fouilles. Ce dernier le remit au Professeur Vallois (5) qui en fit paraître l’ étude en 1971. Il appartenait à un sujet Proto – Méditerranéen, de sexe probablement féminin, âgé de 18 à 25 ans et ayant vécu il y a environ 7 000 ans .
Il était en très mauvais état et a été fortement reconstitué. Le crâne cérébral était teinté d’ocre. Il comprend le frontal, la plus grande partie des pariétaux et les écailles des temporaux avec les apophyses zygomatiques et les cavités glénoïdes. Le massif facial supérieur est très détérioré mais heureusement les malaires et la partie inférieure des maxillaires ont été en partie épargnés.
Une mandibule étaient parmi les restes osseux et a été décrite mais hélas, lors de cette étude il nous été impossible de l’examiner, elle n’était plus dans les collections de l’Institut de Paléontologie
Humaine ( Paris ), nous n’avons qu’une photographie.
L’intérêt anthropologique et odontologique de ce crâne est exceptionnel.
Il a subit 3 mutilations intentionnelles l’une au niveau du crâne et les 2 autres au niveau de la denture.
-
Il est transformé en masque ou en trophée. En effet, il a été scié, sectionné, lui retirant toute la région occipitale postéro – inférieure. Deux perforations symétriques ont été forées dans les pariétaux pour servir de trous de suspension. Tout ceci a été réalisé avec les outils d’alors donc, les pierres taillées de l’industrie capsienne. La section est régulière, polie, parfaitement plane. Les trous de suspension ont été percés avec minutie, la partie externe est fraisée en tronc de cône (fig.5).
Quelle précision dans ce travail pour ne pas faire éclater l’os! L’on connaît d’autres crânes trophées, mais celui-ci est pour le moment le plus ancien connu.
En général, ils étaient suspendus à l’entrée des huttes, par une perforation médiane sur le sommet du crâne d’où pour celui-là la possibilité d’y voir plutôt un masque.
-
Avulsions dentaires intentionnelles.
Du point de vue dentaire ce crâne a subit l’avulsion intentionnelle des incisives maxillaires et mandibulaires, centrales et latérales (fig6a).
Ces mutilations dentaires, inconnues au Paléolithique supérieur, sont observées pour la première fois à l’épipaléolithique au Maghreb chez les Ibéromaurusien où elles étaient généralement presque constantes mais limitées aux 2 incisives médianes supérieures et chez les Capsiens où elles deviennent beaucoup plus rares mais touchent les incisives maxillaires et mandibulaires.
On en a retrouvé ensuite en Afrique, en Inde, en Chine, très rarement en Amérique précolombienne et en Australie. En Europe cette pratique a été exceptionnelle au Néolithique et au début de l’âge des métaux. Ces avulsions ont été pratiquées précocement car les canines et les premières prémolaires maxillaires sont en mésio-version. La cicatrisation est complète, le rebord alvéolaire est aminci mais sans diminution de hauteur, donc les extractions ont été faites bien avant la mort comme cela est le cas chez d’autres mésolithiques ou néolithiques d’Afrique du Nord (6) (fig7b).
Il est raisonnable de penser qu’elles se pratiquaient au moment de l’éruption des dents permanentes, lorsque la racine est à peine édifiée.
D’après Vallois, les mutilations mandibulaires ne concernaient que les 2 incisives centrales et il a observé une mésio-version des latérales et des canines. De plus, les latérales mandibulaires se seraient légèrement égressées étant donné le diastème maxillaire à ce niveau.
Or, l’un d’entre nous, Jean-Louis Heim, a eu l’occasion de voir cette mandibule et a estimé qu’elle n’appartenait pas à ce sujet. Nous avons observé à nouveau le dessin et la photo publiés par Vallois (fig 8),
Ces illustrations ne correspondent pas à la description qui en fait. Ce sont toutes les incisives qui sont absentes et de chaque côté restent la canine en légère égression et les dents jugales qui sont trop volumineuses par rapport aux homologues maxillaires. De plus, à gauche le rebord alvéolaire est fortement détruit et la reconstitution n’est peut–être pas le reflet exact de la réalité, ce qui peut perturber les rapports d’occlusion que note Vallois. Ceci met en doute l’appartenance de cette mandibule au crâne de Faïd Souar II
Toutes les autres dents sont saines, sans caries.
-
La prothèse dentaire.
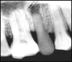
La prothèse dentaire ostéo-implantée montre à elle seule le caractère exceptionnel de ce crâne (fig.9).
En effet, la seconde prémolaire maxillaire droite a été remplacée par un pseudo-élément dentaire qui n’est ni une dent humaine, ni une dent animale, ni en ivoire, en bois mais en os. Elle est parfaitement immobile, sans aucune trace de collage.
Il s’agit d’un os de petite taille comme un os de la main, du pied ou d’une patte d’un petit mammifère dans lequel a été taillée, exécutée cette dent puis placée en bouche, mais impossible de savoir pour quelles raisons.
la texture du tissu osseux est la même chez ces mammifères, seule la morphologie change. Les radios que nous avons prises le confirment (fig.10).
Quel pouvait être cet os ?
Si nous considérons qu’il s’agit d’un os humain, les phalanges ou les métacarpiens d’une main auraient pu être utilisés, tout comme au pied les phalanges de l’hallux ou les métatarsiens. Cela signifierait,
– soit que la prothèse a été réalisée après la mort du sujet, si les os sont les siens
– soit que les os proviennent d’un autre sujet.
– soit qu’il s’agit d’un os animal. Nous savons que la domestication n’était pas encore répandue donc, ni chat, ni chien. Le tableau de chasse des Capsiens était très varié et dans cette région les antilopes, comme les Bubales, étaient très nombreuses. Leur taille était petite ( à peine 1 mètre au garrot) et, de plus elles sont caractérisées par des phalanges très fines. A défaut de Bubale c’est une patte de mouton que nous avons radiographiée. Elle aurait pu servir à réaliser un tel implant.

En vue vestibulaire ( fig.11a) le travail de l’artiste est étonnant tout comme l’idée de remplacer une dent par un autre matériau. L’os a été sculpté, caréné, galbé, rétréci pour figurer le collet et poli, ce qui lui donne vraiment l’aspect d’une couronne dentaire semblable à celles des dents voisines et ne se remarque pas d’emblée.
Sa face occlusale (fig.11b) est arrondie en massue et le diamètre vestibulo-lingual correspond à peu près à une demi dent. La phalange était donc trop étroite.
Sur la face palatine(fig.11c), le tissu spongieux de la phalange est visible grâce a une petite fracture du bord occluso-lingual. Cette pièce osseuse forme un solide assemblage avec l’alvéole, son ajustage est quasi parfait sur 3 faces. Toute la partie palatine de l’implant est dans le vide, ne comblant pas l’alvéole à cet endroit, si bien que l’on aperçoit parfaitement la pseudo-racine.
Le rebord alvéolaire, ne montre ni remaniement osseux, ni atrophie, ce qui laisse à penser que la restauration a été faite très peu de temps après la perte de la dent naturelle et très peu de temps avant la mort du sujet. Il existe un petit éclat alvéolaire vestibulaire qui a pu être fait lors de la pose de la dent avant ou après la mort du sujet.
Cet élément prothétique, mesure environ 20 mm de hauteur totale dont 8 sont à l’intérieur de l’alvéole, avec lequel il forme un assemblage solide, quasi-parfait. Nous avons là un os emboîté, fiché dedans l’os maxillaire et totalement immobile réalisant ainsi une » gomphose » selon les termes d’Ambroise Paré qui pensait, semble t-il, que les dents étaient articulées par gomphose (Littré, 1971).
L’examen radiographique montre une réelle contiguïté entre la paroi alvéolaire et la pseudo-racine. Nous en avons discuté avec le Professeur Marcel Gaspard de la Faculté de Chirurgie dentaire de
Paris ( Université R. Descartes ) et nous avons estimé qu’il était effectivement possible d’envisager que l’on ait là une cicatrisation par ostéogenèse sur 3 faces seulement, représentant , selon lui, un mode d’attache alvéolo-implantaire par ankylose ou par soudure de type » pleurodonte » dans lequel la dent est fixée uniquement par sa face vestibulaire à son support osseux (7).
Cette prothèse dentaire unitaire, endo-alvéolaire est un véritable implant en os. Il faut noter que la face occlusale dépasse très légèrement le sommet des autres dents. D’après ce qui a été écrit les antagonistes existaient et l’occlusion était impossible. mais si la mandibule n’est pas la sienne toutes les hypothèses sont envisageables y compris l’absence d’antagonistes.

Une effraction de la face externe du maxillaire (fig.12), au-dessus du rebord alvéolaire et en regard de cette dent, montre une cavité creusée dans l’os, sans aucun doute d’origine pathologique. Tout laisse à penser que cette seconde prémolaire avait présenté une périodontite apicale aiguë ou chronique, secondaire à une gangrène pulpaire. Rappelons que les autres dents ne sont pas cariées.
Il s’agit vraisemblablement d’une lésion granulomateuse ou kystique s’étant extériorisée vestibulairement.
L’orifice, ovalaire, triangulaire, est trop grand pour n’être qu’un orifice fistulaire mais ne semble pas avoir été agrandi post-mortem. Il permet d’apercevoir la partie supérieure de la restauration prothétique appointée vers l’apex, taillé en biseau. Le plancher du sinus a été respecté comme il est possible de le constater sur le crâne et sur les radiographies. Il est probable que la perte de la prémolaire soit liée à la présence de cet abcès.
La grande question qui se pose, de savoir si cet implant a été réalisé du vivant du sujet ou après sa mort, reste toujours sans réponse. D’autant plus, que le crâne aussi n’est plus dans les collections de l’I.P.H. Il semblerait que son découvreur l’ait repris. Il est désormais impossible de faire d’autres examens plus approfondis (M.B.E) ou d’analyser l’ADN de cet implant ce qui de toutes les façons est trop mutilant.
Il est vrai que la raison nous pousse à croire que cette reconstitution dentaire a été effectuée après la mort du sujet, au moment de la confection du masque. Son ajustage est si parfait qu’il peut paraître impossible qu’elle ait été exécutée, en bouche, du vivant du sujet. Mais ce n’est toujours qu’une hypothèse.
Alors os humain ou animal ? La tombe comportait beaucoup d’ossements et impossible de savoir, les événements survenus alors dans ce pays ayant stoppé les fouilles.
– S’il s’agit d’un masque ou d’un trophée, conservé donc un certain temps, il n’y a aucune raison pour que la mandibule ait été retrouvée à côté du crâne.
– Nous pouvons aussi imaginer que cette prothèse a été réalisée en bouche juste après la perte de la prémolaire, ce » Capsien » vivant encore, puis il est décédé de cela ou d’autre chose, très peu de temps après. Alors, les tentatives de greffes osseuses ou d’implantologie réalisées par ce praticien d’alors, auraient 7 000 ans !
– Si, cette pseudo-dent a été exécutée post-mortem, ceci ne remet nullement en question le moment de son exécution ni les qualités de l’artiste qui n’a utilisé, répétons – le , que des pierres taillées.
Quoi qu’il en soit, cette prothèse dentaire, retrouvée en bouche, reste la plus ancienne connue à ce jour, même si elle n’a jamais été fonctionnelle et ceci reste malgré tout très étonnant !
Tout cela confirme que de tous temps les Hommes ont porté une attention particulière à leurs dents, soit par rites religieux soit par esthétisme soit encore dans un but thérapeutique et ce témoignage de l’art dentaire préhistorique est vraiment exceptionnel.
* L’introduction des datations absolues basées sur la désintégration des radio-éléments a entraîné l’adoption d’une échelle ayant pour origine l’année 1950 et les dates antérieures sont dites » before present » (B.P). Cette échelle remplace de plus en plus celle utilisée antérieurement et partant de l’ère chrétienne (avant J.C). Toute les dates que nous donnons sont ( B.P.).
1 Granat J., 1990 – L’Implantologie aurait-elle 7000 ans . In :L’Information Dent., Paris, n° 22: 1959-1961
2 Chamla M.C., 1986 – LesHommes Néolithiques de l’Afrique. Ed C.N.R.S., Doin, Paris. pp. 280-291
3 Hadjouis D., Vignal J.N., Medig M., Sahnouni M., Derradji A. , 2000 – Biodynamique cranio-faciale, paléopathologie et reconstitution faciale 2Dd’un crâne Ibéromaurusien (grotte de Taza, Jijel, Algérie) . In: L’identité en question. Ed. Artcom. Paris : 205-220.
4 Ferembach D., 1986 – Homo sapiens sapiens en Afrique : des origines au néolithique. Ed C.N.R.S., Doin, Paris. pp245-280
5 Vallois H.V., 1971 – Le crâne-trophée capsien de Faïd Souar II Algérie. (Fouilles Laplace, 1954). L’Anthropologie, Masson, Paris, t. 75, n° 3-4 : 191-220 et n° 5-6 : 397-414.
6 Hadjouis D., Vignal J.N., Michaut J F., Richebé J., Schuliar Y., 2000 -Analyse architecturale, paléopathologie et reconstitution faciale 2D et 3D (sculpture) d’un crâne mechtoïde du néolithique de l’ouest algérien (oued Guettara, Algérie) . In: L’identité en question. Ed. Artcom. Paris :.221-236
7 Anthony J., 1973 – Cours d’anatomie dentaire comparée. J. Prélat édit.Paris.







