Bibliothèques d'Université Paris Cité
  1. Medica
    1. Bibliothèque numérique
    2. Images et portraits
    3. Asclépiades (thèses d’histoire)
    4. Manuscrits (Calames)
    5. Base biographique
    6. Medicina (bibliographie)
    7. Numérisation à la demande (EOD)
  1.   Accueil
  2. Medica
  3. Bibliothèque numérique
  4. Résultats de recherche
Medica — Bibliothèque numérique

Présentation • Mode d’emploi • Services associés • Réutilisations

page précédente

Revue générale de clinique et de thérapeutique - Journal des praticiens - [Annexes]
63e année, 1949. - Paris : [s.n.], 1949.
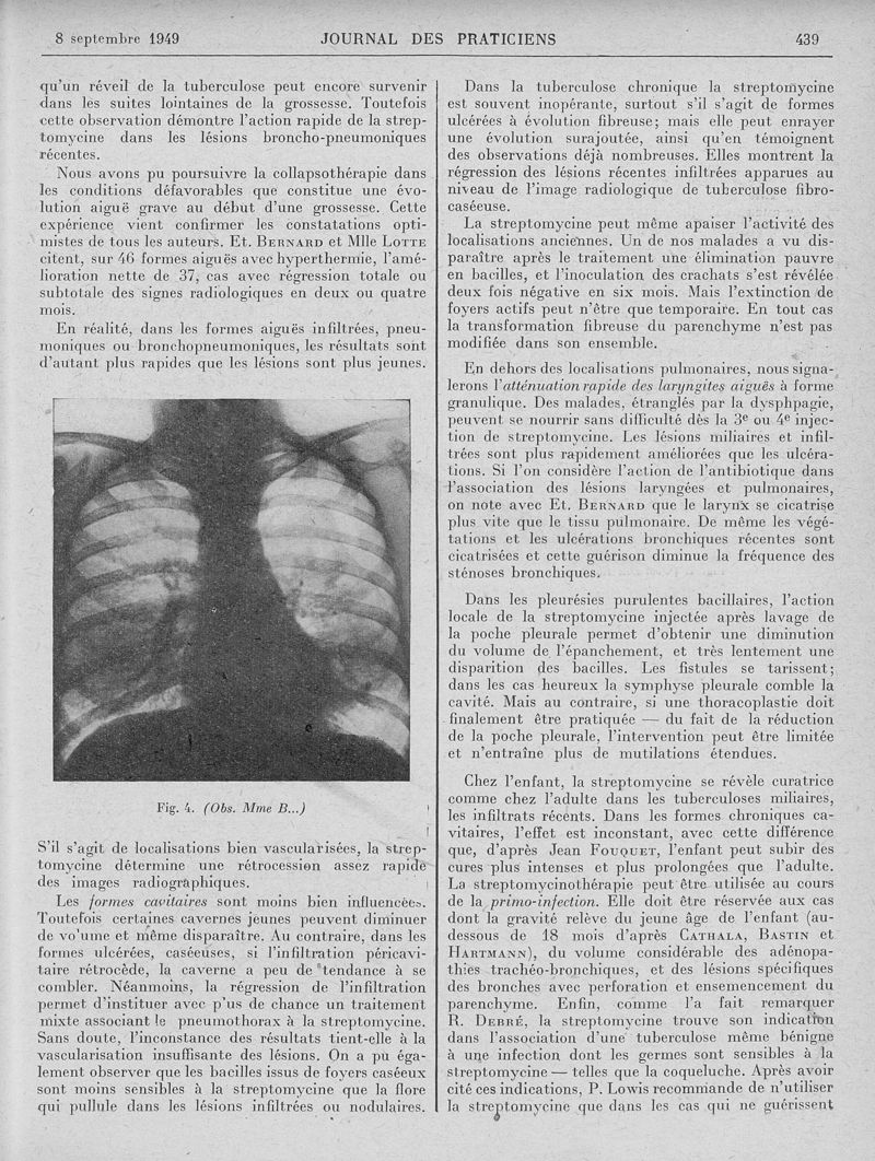
Page à Page
Par chapitres
Sur Internet Archive

Page suivante


URL pérenne de cette page : https://www.biusante.parisdescartes.fr/histmed/medica/page?91405x1949xcorps&p=439

page précédente

Revue générale de clinique et de thérapeutique - Journal des praticiens - [Annexes]
63e année, 1949. - Paris : [s.n.], 1949.
Page à Page
Par chapitres
Sur Internet Archive

Page suivante

Monogramme Université Paris Cité Logo Investissements d'avenir
Contacts Mentions légales Plan du site