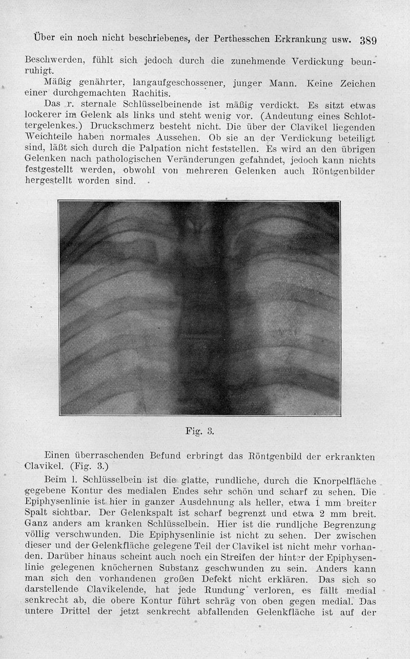
Bibliothèques d'Université Paris Cité
  1. Medica
    1. Bibliothèque numérique
    2. Images et portraits
    3. Asclépiades (thèses d’histoire)
    4. Manuscrits (Calames)
    5. Base biographique
    6. Medicina (bibliographie)
    7. Numérisation à la demande (EOD)
  1.   Accueil
  2. Medica
  3. Bibliothèque numérique
  4. Résultats de recherche
Medica — Bibliothèque numérique

Présentation • Mode d’emploi • Services associés • Réutilisations

page précédente

FRIEDRICH, H.
Über ein noch nicht beschriebenes, der Perthesschen Erkrankung analoges, Krankheitsbild des sternalen Clavikelendes
In : Deutsche Zeitschrift für Chirurgie, 1924, Vol. 187, pp. 385-98
Page à Page
Par chapitres

Page suivante


URL pérenne de cette page : https://www.biusante.parisdescartes.fr/histmed/medica/page?epo0349&p=5

page précédente

FRIEDRICH, H.
Über ein noch nicht beschriebenes, der Perthesschen Erkrankung analoges, Krankheitsbild des sternalen Clavikelendes
In : Deutsche Zeitschrift für Chirurgie, 1924, Vol. 187, pp. 385-98
Page à Page
Par chapitres

Page suivante

Monogramme Université Paris Cité Logo Investissements d'avenir
Contacts Mentions légales Plan du site