Présentation • Mode d’emploi • Services associés • Réutilisations
|
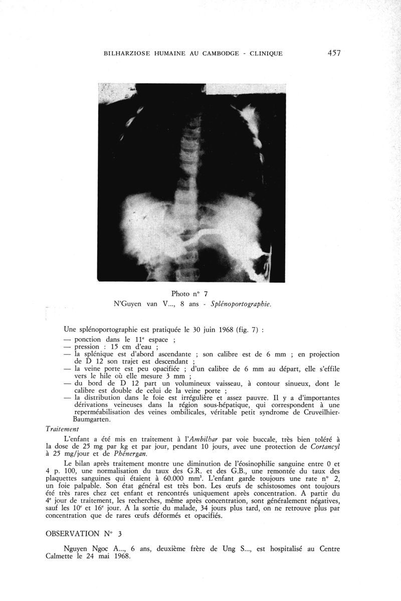
. -
Marseille : Ecole d'application et centre d'instruction et de recherche. Service de santé des troupes de marine,
1970.
|
|
URL pérenne de cette page : https://www.biusante.parisdescartes.fr/histmed/medica/page?medtropx1970x30&p=428
|
|
. -
Marseille : Ecole d'application et centre d'instruction et de recherche. Service de santé des troupes de marine,
1970.
|